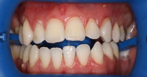
Tamne mrlje, žućkasta ili sivkasta boja bez sjaja učiniće da vaši zubi, iako su potpuno zdravi, ne izgledaju tako.
Postoje brojni načini da povratite boju vaših zuba, ali samo jedan će rezultat dati gotovo odmah- lasersko izbjeljivanje zuba. Jedan tretman kod vašeg stomatologa posvijetliće vaše zube za nekoliko nijansi.
Da li želite da vaši zubi budu svjetliji? Da? To je jedini uslov koji je potrebno da ispunite.
Stomatolog će na vaše desni nanijeti zaštitni, a na zube gel za izbjeljivanje i potom ga laserom „aktivirati“. U ordinaciji dr Barovića za ovu proceduru se koristi najnoviji „Philips Zoom“ aparat, pete generacije, uz odgovarajuće najkvalitetnije materijale. Nema prostora za bojazan da ovaj tretman može oštetiti gleđ. Lasersko izbjeljivanje zuba je potpuno bezbjedno i bezbolno. Gel će zaštiti vaše desni, a nekoliko dana nakon postupka možete osjećati malu nelagodu u zubima.

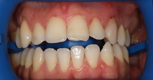
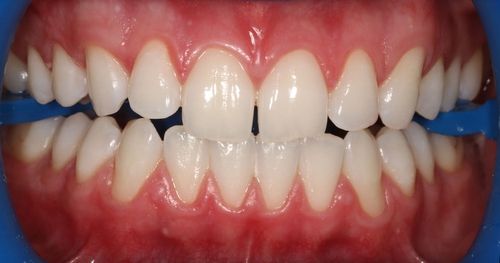
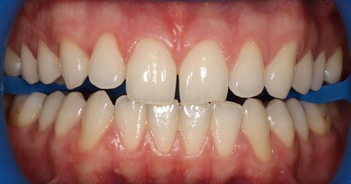
Rezultate laserskog izbjeljivanja zuba vidite odmah nakon prvog tretmana koji traje 45 minuta. U toku ove procedure možete dobiti i za nekoliko nijansi svjetlije zube. U dogovoru sa stomatologom, i u zavisnosti od vaših želja možete odlučiti da li i kada da ovaj postupak ponovite.
Za razliku od same procedure, rezultati traju značajno duže. Koliko će vaši zubi zadržati bjelinu, zavisiće najviše od vas. Uz kvalitetnu oralnu higijenu i izbjegavanje obojenih pića poput kafe, vina i koka-kole, preporučuju se i redovne posjete ordinaciji zarad profesionalnog čišćenja i poliranja zuba, pa se može očekivati da pozitivni efekti jednog laserskog izbjeljivanja potraju godinama.
Razvoj materijala i opreme, te njihove pristupačnije cijene, gotovo su prepolovile cijenu ove usluge.
Za 45 min obrisaćemo tragove koji su godinama ostajali na vašim zubima, a na pitanje koje nam po pravilu tada postavite nemamo odgovor- to pitanje glasi „Zašto ovo nisam ranije uradio/la?“



























